Celexo is not just a skin booster—it is a high-performance bio-regenerative solution. By combining proprietary Exo-Cica® Block technology with a Dual HA architecture, Celexo delivers a complete 3-step rejuvenation process: precise signaling, barrier restoration, and dermal reconstruction.
A high-purity, plant-derived exosome complex crafted using patented plant-specific separation and purification technology that enhances efficacy, purity, and yield without cell damage







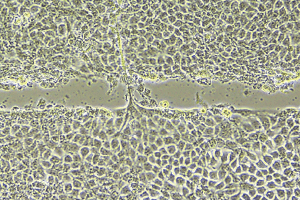
[Cell Regeneration Test Based on Recovery from HDF Damage]

Targeted Calming
Delivers high concentrations of active ingredients to significantly suppress inflammatory cytokines (IL-6, TNF-α), providing immediate relief for sensitive or post-procedure skin.
Regenerative Foundation





*2024 Ex-vivo Evaluation of the Elasticity, Barrier Improvement,
and Regenerative Effects of Celexo on Human-Derived Skin Tissue
(KBI Korea Bio Institute)
rebuilding the moisture barrier from the inside out.
Deep & Surface Hydration
Self-Assembled Delivery
The amphipathic structure ensures stable encapsulation of exosomes, maximizing the delivery efficiency and retention of active ingredients.





(mean±error, statistical significance: *p<0.05 vs baseline, ***p<0.05 vs control group)


2024 Dermatological Test on Improvement by KBI (by IRB approval)
Structure & Elasticity
Reinforces the dermal framework with Type I collagen for firmness, while enhancing softness and flexibility with Type III collagen.
Visible Transformation
Clinically proven to reduce pore size by over 30% and significantly improve wrinkles and skin radiance after just one session.

